2014年5月28日更新
18才5ヶ月~20才3ヶ月 男子 大学生
2017/09/15
矯正治療の患者様です。
治療期間:1年10ヶ月(現在保定期間・定期観察中)
使用床矯正装置 : 2個(下顎:1個 / 上顎 : 1個)
ストレートワイヤーブラケット装置:上下装着
リテーナー装置(保定装置):上下装着
1年10ヶ月でかかった費用:初診料・装置代\430,000 / 調整・観察料 \113,500 合計:\543,500+消費税
院長コメント
下の犬歯(糸切り歯)の位置、下の前歯の歯並びが気になるとのことでご相談頂きました。
右下の3番目の歯(犬歯、糸切り歯)が歯列から外に出ていて、残念ながら3番目の歯の入るスペースが不足していました。また、上下の歯列の形がきれいな楕円形ではなく、舌の動きを妨げてしまうような狭い歯列になっています。
まずは床矯正によって拡大し、全ての歯が窮屈な形でなく、十分なスペースを確保しきれいな楕円形の歯列となるようにすすめてまいりました。
歯の成長期が既に完了している年齢と歯の軸が傾斜しているなどの理由から床矯正だけでは拡大できるのみの治療となるため、床矯正による拡大後にはストレートワイヤーブラケット装置により3次元的に歯を移動させる処置も含めての矯正治療とさせて頂きました。
大学生の多忙な時期の中、矯正治療に頑張って長い期間、装置を装着して頂きありがとうございます。
ご満足頂ける結果に嬉しく思うとともに感謝申し上げます。また、歯の大切さを実感して頂き嬉しく思います。
今後は、しっかりと定期検診、メンテナンスでチェックさせて頂きます。
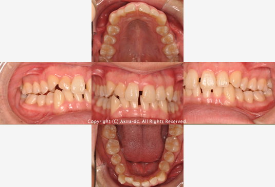
初診時口腔内写真
下の犬歯(糸切り歯)の位置が気になるとのことでご相談頂きました。

Q1.治療前にお口の歯並びで気になっていたことはどのようなことですか?
A1. 下の前歯の歯並びが気になる。
Q2.治療終了後または保定期間中の状態は、治療前の歯並びと比べていかがでしょうか?
A2.見た目がきれいになった。
初診時レントゲン写真

初診時模型写真
上下の歯列の形がきれいな楕円形ではなく、舌の動きを妨げてしまうような狭い歯列になっていて3番目(犬歯、糸切り歯)のスペースが確保できていません。

床矯正写真
上下顎ともに平行拡大装置で拡大しスペースを確保して行きます。

床矯正拡大装置装着
1つ目の装置を上下顎に装着。45°×2回転/1週で拡大します。

床矯正拡大装置装着後4ヶ月経過
真ん中の部分が拡大によって開いてきました。

床矯正拡大装置装着後4ヶ月経過
口腔内写真 真ん中の部分が拡大によって開いてきました。

隙間ができたらゴムを装着して寄せて行きます。

ゴム装着後2週間経過
真ん中の隙間が埋まり奥に3番目の歯のスペースができてきます。

床矯正拡大装置装着後6ヶ月
引き続き下顎にゴムを装着し寄せて行きます。


下顎ゴム装着後1ヶ月経過
真ん中の隙間が埋まり隣に隙間ができてきます。順次隙間を寄せて3番目の歯のスペースを確保して行きます。

床矯正拡大装置装着後9ヶ月経過
模型写真

床矯正拡大装置装着後9ヶ月経過
正面写真
拡大により下顎の3番目の歯が歯列に収まるスペースを確保しました。また、上顎の前歯はやや内方に位置しているので外方に出すことで3番目の歯のスペースを確保します。そこで3次元的に歯を動かすためには、形状記憶合金でできたストレートワイヤーブラケット装置の装着によりバランスを整えて行きます。

床矯正治療開始後10ヶ月経過
ストレートワイヤーブラケット装置装着(上顎)しました。

床矯正治療開始後10ヶ月経過
順次、ストレートワイヤーブラケット装置装着(下顎)しました。

ストレートワイヤーブラケット装置装着後3ヶ月経過
きれいな歯列に近づいてきました。

ストレートワイヤーブラケット装置装着後3ヶ月経過 レントゲン写真

ストレートワイヤーブラケット装置装着後4ヶ月経過
顎間ゴム装着
ゴムをご自身で装着して頂き噛み合うように微調整して行きます。

床矯正治療開始後1年5ヶ月経過(ストレートワイヤーブラケット装着後7ヶ月経過)
きれいな噛み合わせになってきました。

床矯正治療開始後1年6ヶ月経過(ストレートワイヤーブラケット装着後8ヶ月経過)
噛み合わせが安定してきたので奥歯の装置を除去しました。前歯はもう少しこのまま様子を見ます。

床矯正治療開始後1年9ヶ月経過(ストレートワイヤーブラケット装着後11ヶ月経過)
前歯のブラケット装置も除去しました。歯の後戻り(元に戻ろうとする反応)を防ぐために前歯の裏側をワイヤーで保定します。

リテーナー装置(保定装置)を作製

リテーナー装置(保定装置)装着
後戻りを予防するために1~2ヶ月は常時装着しその後夜間のみ、就寝時のみの装着へと移行して行きます。

床矯正治療開始後2年7ヶ月経過(リテーナー装置装着後1年経過)
後戻りを予防するために1~2ヶ月は常時装着しその後夜間のみ、就寝時のみの装着へと移行して行きます。

床矯正治療開始後2年7ヶ月経過(リテーナー装置装着後1年経過)レントゲン写真

![]() |
![]() |
|
術前 正面写真 |
1年9ヶ月経過 正面写真 |
![]() |
![]() |
|
術前 上顎写真 |
1年9ヶ月経過 上顎写真 |
![]() |
![]() |
|
術前 下顎写真 |
1年9ヶ月経過 下顎写真 |
あきら歯科
〒182-0007 東京都調布市菊野台2-22-2 サンメディカルビル1F
京王線柴崎駅 南口改札正面徒歩10秒
新宿から24分 明大前から15分 調布から5分
https://www.akira-dental.com
京王線柴崎駅南口改札正面
駐車場完備




